PATIENT SEX AND AGE
Male patient, 30 years old.
MAIN COMPLAINT
Mobility and pain in tooth 21 after perforation during attempted endodontic treatment.
INITIAL EVALUATION
After detailed anamnesis, clinical and radiographic examination, a perforation was identified in the middle third of the root of the upper central incisor, making restoration of the tooth impossible.
TREATMENT PERFORMED
The planning was carried out in a virtual environment, aiming for greater safety and predictability of the result. The use of the Arcsys Guided Surgery (AGS) system was planned. After performing a minimally traumatic extraction, a 3.3×13 mm Arcsys implant was placed with 3 mm of compensation. In the same act, a 3x6x2.5 mm Arcsys abutment for cement-retained restoration was installed. installed. The vestibular gap was filled with Nanosynt bone substitute and a connective tissue graft was performed to improve the contours of the region. At the same surgical moment, an immediate provisional prosthesis was made with the aim of maintaining the tissue architecture of the region.1 After a three-month follow-up, a definitive prosthesis was made in translucent zirconia with application of feldspathic ceramic, allowing for a harmonious and esthetic result.
STEP BY STEP

1 | Virtual surgical planning for Arcsys Guided Surgery

2 | Virtual surgical planning for Arcsys Guided Surgery

3 | Initial intraoral aspect.

4 | Perforated central incisor

5 | Guided installation of Arcsys implant

6 | Situation immediately after installing the Arcsys abutment for cement-retained restoration, execution of the connective tissue graft and filling of the gap with Nanosynt

7 | Immediate provisional prosthesis in position

8 | Intraoral situation after 10 days of follow-up

9 | – Intraoral aspect after three months of follow-up

10 | – Intraoral aspect after three months of follow-up

11 | Laboratory phase. Definitive prosthesis in translucent zirconia with application of feldspathic ceramic

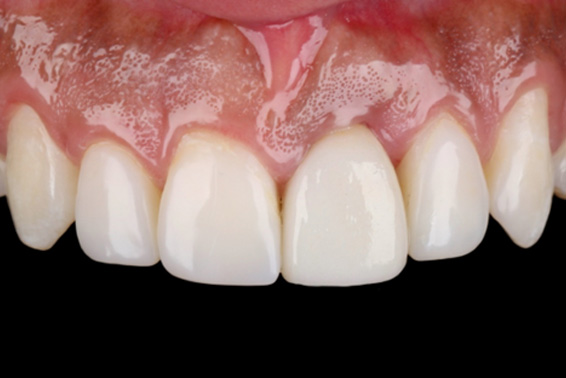
12 | Intraoral situation with the definitive prosthesis in position

13 | Extraoral situation with the definitive prosthesis in position

14 | X-ray with the definitive prosthesis in position
Get to know more here: https://fgmdentalgroup.com/intl/arcsys-implant-system/