• Campus
  • Webinars
    • Live webinars
    • On-demand courses
  • Videos
  • Case studies
  • Dental experts
  • Login
  • Create a free account
  • English
  • Spanish
  • Portuguese

Case studies

REHABILITATION IN PERIODONTALLY COMPROMISED LOWER ESTHETIC REGION

Read now
IMMEDIATE LOADING WITH ARCSYS GUIDED SURGERY

Read now
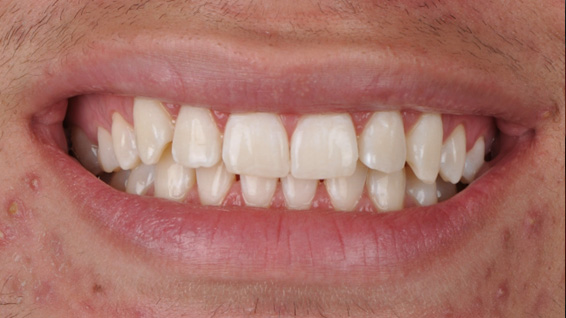
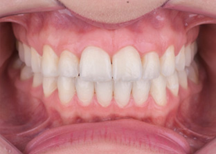
IN-OFFICE WHITENING WITH WHITENESS HP AUTOMIXX 6%

Read now
ASSOCIATED TEETH WHITENING TECHNIQUE: AGILITY IN TREATMENT IN A SAFE AND EFFECTIVE WAY

Read now
SUPERVISED TAKE-HOME WHITENING WITH WHITENESS PERFECT 22%

Read now
TAKE-HOME WHITENESS TECHNIQUE WITH WHITENESS PERFECT 10%

Read now
  • Dental Tribune International
  • Dental Tribune Study Club
  • Tribune Group
  • Terms of use
  • Privacy notice
  • FAQ
  • Support
  • Cookie settings

AGD PACE Tribune Group GmbH Inc.
Nationally Approved PACE Program
Provider for FAGD/MAGD credit.
Approval does not imply acceptance by
any regulatory authority or AGD endorsement.
7/1/2024 - 6/30/2028.
Provider ID# 355051