PATIENT SEX AND AGE
Male patient, 16 years old
MAIN COMPLAINT
Yellow teeth.
INITIAL EVALUATION
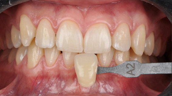
During the clinical examination, using the shade guide, the shade A2 was determined in the middle third of the upper incisors. Considering the patient’s age and aiming to reduce dental sensitivity, in-office whitening was proposed using Whiteness HP
AutoMixx with 6% hydrogen peroxide.
TREATMENT PERFORMED
Prior prophylaxis was performed, and the photographic protocol was followed to record the initial shade. The Arcflex lip retractor was installed, and the gingival tissue was protected with the Top Dam gingival barrier in the shade Green and photoactivated with a Quazar light-curing unit, according to the manufacturer’s recommendations. Then, the Whiteness HP AutoMixx 6% whitening gel was connected to a tip with an attached brush, and a small amount of the product was dispensed until the gel was correctly self-mixed before application to the tooth surface. The gel was applied to the tooth structure and held in position for 50 minutes, without the need for replacement, due to its viscosity and stable pH during application. After the predetermined time, the whitening gel was removed by suction and abundant washing with water. Then, the gingival barrier and lip retractor were also removed. Three 50-minute sessions were performed, with seven-day intervals between them, to ensure a significant change in shade. In one of the sessions, the treatment was performed without a gingival barrier. Shade was assessed one month after treatment. The result showed a significant shade change after treatment, with the final shade BL4 evaluated by the shade guide. The patient did not experience tooth sensitivity or gum irritation in any of the sessions and reported satisfaction with the treatment.
STEP BY STEP

1 | Initial smile condition

2 | Prophylaxis performed before the procedure

3 | Recording the initial teeth shade

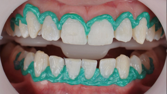
4 | Arcflex lip retractor in position and application of the Top Dam gingival barrier

5 | Application of Whiteness HP AutoMixx 6% whitening gel

6 | Final aspect
Get to know more about Whiteness Automixx 6%: https://fgmdentalgroup.com/latam/blog/posts/blanqueamiento-whiteness-hp-automixx-6/





