PATIENT SEX AND AGE
Female patient, 57 years old.
MAIN COMPLAINT
Element 31 without insertion, mobility in elements 32, 41, and 42
INITIAL EVALUATION
Patient presenting with teeth 32, 41, and 42 with great mobility, complaint of pain when chewing and dissatisfaction with esthetics in the lower anterior region.
TREATMENT PERFORMED
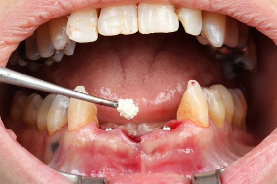
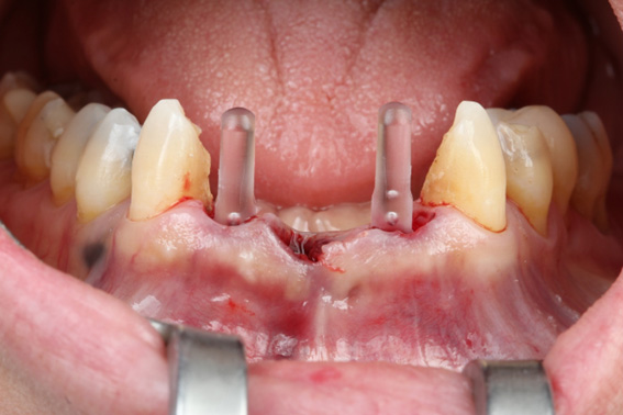
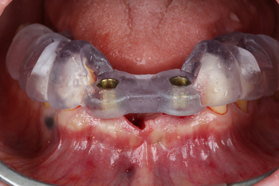
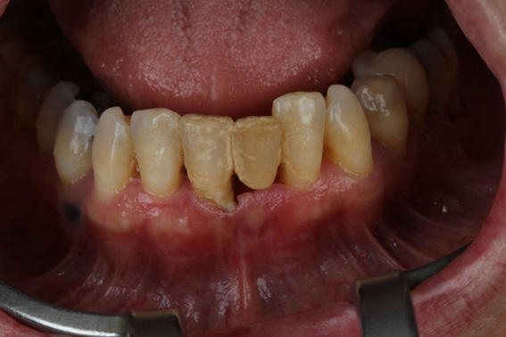
For case planning, scanning was performed and a computed tomography scan of the region was requested, which showed extensive bone loss in the region of 41 and 31 and a decrease in the insertion of teeth 42 and 32. Upon returning, element 31 had already been removed, suggesting the extraction of elements 32, 41, and 42 and the installation of two Implants via Arcsys Guided Surgery and the rehabilitation of four crowns. After local anesthesia in the region, extraction was performed in a minimally traumatic manner, preserving the vestibular bone plate. Two Arcsys Implants were installed with the aid of the prototyped Surgical Guide. 1 Due to the good primary stability of 60 N.cm, it was possible to install two Arcsys Mini abutments for screw-retained restoration, capture of provisioinfra-occlusion in all movements. With the provisional finished, the alveolus was reconstructed and the vestibular gap was filled with Nanosynt bone substitute. Finally, suturing and installation of the provisional parts were performed.2 After 45 days of osseointegration, prosthetic rehabilitation was planned using Digital Workflow, using Mini abutment for screw-retained restoration Scan Bodies. With the piece ready, the zirconia was cemented extraorally on the Arcsys Mini abutment for screw-retained restoration Metal Link, placed in position and screwed at 10 N.cm tightening.
STEP BY STEP

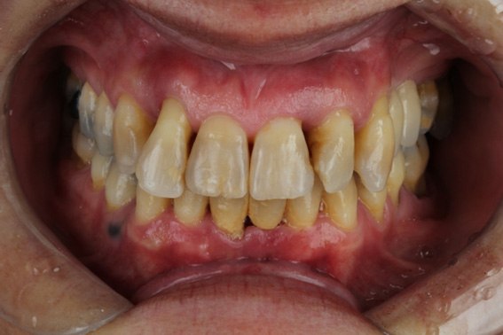
1 | Initial aspect, teeth in occlusion

2 | Initial aspect, lower elements

3 | Alveoli immediately after tooth extraction. Occlusal view

4 | Printed surgical guide in position for the start of drilling

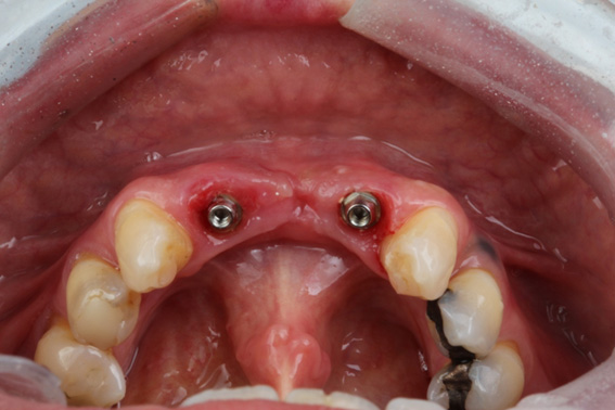
5 | Implant Installation using the Arcsys Guided Surgery System

6 | Installation wrench stopper in contact with the sleeve

7 | Adjusted referrers for better parallelism

8 | Nanosynt to fill the gaps and reconstruct the area

9 | Installation of the provisional piece adjusted immediately

10 | Occlusal view of tissue volume and stability after 45 days

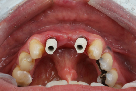
11 | Scan Bodies positioned for scanning

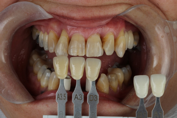
12 | Photography for shade selection and communication with the laboratory

13 | Definitive prosthesis characterized and installed
Get to know more here: https://fgmdentalgroup.com/intl/arcsys-guided-surgery/





