PATIENT SEX AND AGE
Male patient, 22 years old.
MAIN COMPLAINT
The patient sought dental care with an esthetic complaint about his smile, due to the shade of his teeth.
INITIAL EVALUATION
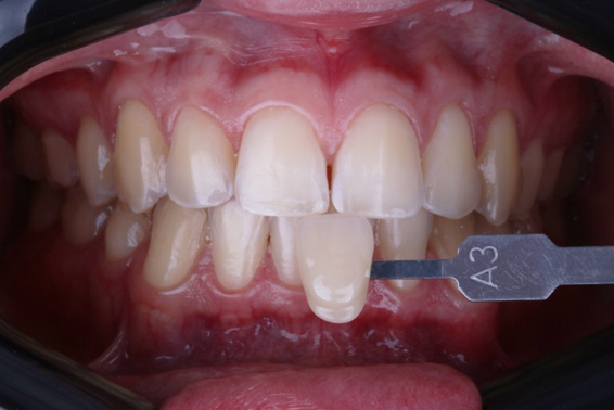
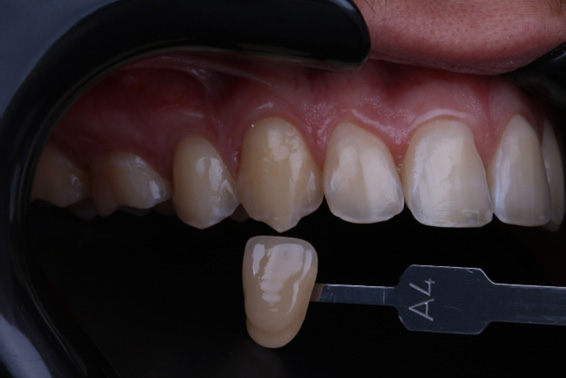
During clinical examination, shade A3 was initially recorded in the central incisors and shade A4 in the canines. Due to the patient’s limited time for long-term- in-office sessions and in order to minimize dental sensitivity, supervised take-home whitening with Whiteness
Perfect 10%, carbamide peroxide, was chosen.
TREATMENT PERFORMED
Initially, alginate molding was made of the upper and lower arches to obtain the models. The trays were made using Whiteness whitening tray plates in a vacuum laminating machine. After being made, the trays were adjusted to ensure proper adaptation, good retention, and comfort, and were then delivered to the patient. The patient was instructed to apply a drop of whitening gel to the vestibular surface from premolar to premolar. The protocol consisted of three hours of daily use for 21 days. Monitoring was carried out weekly and the shade was evaluated one month after the end of treatment to check for chromatic changes. The patient reported high satisfaction with the treatment, absence of sensitivity and gum irritation, and having benefited from the flexibility of carrying out the supervised treatment at home. Patients’ perception of the esthetic appearance of their smile is strongly influenced by the shade of their teeth. The take-home teeth whitening Technique is an effective alternative to improve this aspect, recognized as one of the oldest techniques and still widely used. 10% carbamide peroxide gel is considered the gold standard, providing a safe and effective protocol, with a low risk of tooth sensitivity and gum irritation.
STEP BY STEP

1 | Initial shade taking with the shade guide, A3 on the incisors

2 | Initial shade taking with the shade scale, A4 on the canines.

3 | Application of Whiteness Perfect 10% carbamide peroxide gel in the whitening tray

4 | Insertion of the whitening trayt

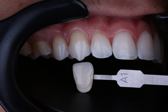
5 | Final shade taking with the shade scale, A1 on the canines

6 | Initial smile aspect

7 | Final smile aspect
Get to know more here: https://fgmdentalgroup.com/intl/whitening-products/whiteness-perfect/





