Paciente
Mujer, 19 años.
Motivo principal
Insatisfacción con el color de sus dientes.
Evaluación clínica/radiográfica inicial
La paciente presenta una buena salud bucal, sin necesidad de intervención previa al blanqueamiento. Además, reportó no tener sensibilidad dental.
Tratamiento realizado
El tratamiento propuesto fue el blanqueamiento dental con peróxido de hidrógeno al 35%, Whiteness HP Maxx (FGM). Se llevaron a cabo tres sesiones de blanqueamiento, con tres aplicaciones de 15 minutos en cada sesión. El resultado final proporcionó satisfacción a la paciente.
Paso a paso

Fig. 1 – Aspecto inicial de la paciente: sonrisa frontal y labios separados

Fig. 2 – Aspecto inicial de la paciente: sonrisa frontal y labios separados

Fig. 3 – Aspecto intraoral inicial

Fig. 4 – Arcada superior con contraste negro

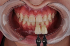
Fig. 5 – Registro del color inicial, A2 en incisivos y A3 en caninos

Fig. 6 – Registro del color inicial, A2 en incisivos y A3 en caninos

Fig. 7 – Profilaxis previa con copa de goma y pasta profiláctica

Fig. 8 – Aplicación de Desensibilize KF2% (FGM) antes del blanqueamiento, por 10 minutos

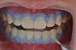
Fig. 9 – Aplicación de la barrera Top Dam (FGM) sobre la encía y papilas gingivales para asegurar una cobertura total y un buen campo de protección para el procedimiento

Fig. 10 – Preparación del gel blanqueador Whiteness HP Maxx (FGM), mezclando el peróxido y el espesante en una proporción de 3:1. La mezcla se debe homogeneizar durante 40 segundos hasta obtener la viscosidad adecuada para la aplicación

Fig. 11 – Preparación del gel blanqueador Whiteness HP Maxx (FGM), mezclando el peróxido y el espesante en una proporción de 3:1. La mezcla se debe homogeneizar durante 40 segundos hasta obtener la viscosidad adecuada para la aplicación

Fig. 12 – Preparación del gel blanqueador Whiteness HP Maxx (FGM), mezclando el peróxido y el espesante en una proporción de 3:1. La mezcla se debe homogeneizar durante 40 segundos hasta obtener la viscosidad adecuada para la aplicación

Fig. 13 – Preparación del gel blanqueador Whiteness HP Maxx (FGM), mezclando el peróxido y el espesante en una proporción de 3:1. La mezcla se debe homogeneizar durante 40 segundos hasta obtener la viscosidad adecuada para la aplicación

Fig. 14 – Preparación del gel blanqueador Whiteness HP Maxx (FGM), mezclando el peróxido y el espesante en una proporción de 3:1. La mezcla se debe homogeneizar durante 40 segundos hasta obtener la viscosidad adecuada para la aplicación

Fig. 15 – Preparación del gel blanqueador Whiteness HP Maxx (FGM), mezclando el peróxido y el espesante en una proporción de 3:1. La mezcla se debe homogeneizar durante 40 segundos hasta obtener la viscosidad adecuada para la aplicación

Fig. 16 – Aplicación del gel Whiteness HP Maxx sobre los dientes con una espátula adecuada, incluida en el kit del producto

Fig. 17 – Vista frontal, después de la aplicación del gel en la superficie vestibular de todos los dientes incluidos en el procedimiento de blanqueamiento (arcada superior e inferior). Durante la aplicación, el gel cambia de color (de rojo carmín a verde), indicando el progreso de la reacción química

Fig. 18 – Vista frontal, después de la aplicación del gel en la superficie vestibular de todos los dientes incluidos en el procedimiento de blanqueamiento (arcada superior e inferior). Durante la aplicación, el gel cambia de color (de rojo carmín a verde), indicando el progreso de la reacción química

Fig. 19 – Después de 15 minutos de contacto del producto con los dientes, el exceso de gel se eliminó inicialmente con ayuda de un aspirador quirúrgico desechable. Todo el proceso se repitió dos veces más

Fig. 20 – Al finalizar la tercera aplicación, se realizó la eliminación completa del producto con aire/agua a presión

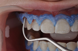
Fig. 21 – Eliminación de la barrera gingival con ayuda de una sonda exploradora

Fig. 22 – Eliminación de la barrera gingival con ayuda de una sonda exploradora

Fig. 23 – Vista intraoral final

Fig. 24 – Evaluación cromática después del tratamiento de blanqueamiento, evidenciando el resultado obtenido

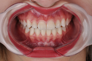
Fig. 25 – Aspecto final de la sonrisa, una semana después de finalizar el blanqueamiento





